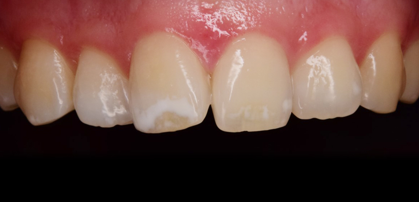
로그인을 하시면 화이트스팟 전후 모습을 확인할 수 있습니다.
로그인을 하시면 라미네이트 전후 모습을 확인할 수 있습니다.
로그인을 하시면 임플란트 전후 모습을 확인할 수 있습니다.
로그인을 하시면 임플란트 상악동 전후 모습을 확인할 수 있습니다.
BEFORE
더 나은 서비스 제공을 위해 로그인을 해주세요.